【フェイシャル・脱毛・ホワイトニング】べっぴん脱毛×なないろ美人 鈴鹿店
フェイシャルダツモウホワイトニングベッピンダツモウカケルナナイロビジンスズカテン
- エステ
- リラク
口コミ・平均点について
- 普通=3が評価時の基準です。あくまでも個人の感想であり、個人差があります。
- 平均点は直近1年間の集計です。
- 三重県鈴鹿市神戸1丁目19-25北栄ビル402号
- 近鉄鈴鹿市駅から徒歩3分
べっぴん脱毛×なないろ美人 鈴鹿店の雰囲気・メニューなど
-

ヘッドスパ以外にもリンパマッサージもございます♪
-

【脇脱毛】3ヶ月/6回施術
-

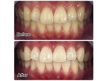
【ホワイトニング5回】人と関わることが多い方におすすめ♪
サロンの利用傾向
平均予約金額
| 初来店 | ¥3,000~¥3,999 |
|---|---|
| 2回目以降来店 |
データ収集中 |
- ※平均予約金額は、直近1年間のHOT PEPPER Beauty経由のネット予約時データをもとに集計しています。
- ※回数券購入分を含みます。
- ※予約合計金額が0円の場合は集計対象外です。
人気のクーポン
データ収集中
予約比率
性別比率
データ収集中
年代比率
データ収集中
べっぴん脱毛×なないろ美人 鈴鹿店のサロンデータ
| 電話番号 | 番号を表示 | ||
|---|---|---|---|
| 住所 | 三重県鈴鹿市神戸1丁目19-25北栄ビル402号 | ||
| アクセス・道案内 | 近鉄鈴鹿市駅の改札を出て左側のファミリーマートの方に進みます。名物どら焼き「ふくや」を過ぎて左の道路を進みます。右側に見えてくる「ゆう膳」の手前の一方通行の道路に進みます。左側に見えるビルの裏側にエレベーターがあるので4階までお越しください。 エレベーターを出て右側にございます。 | ||
| 営業時間 | 10:00~21:00 | ||
| 定休日 | 水曜日 | ||
| 支払い方法 |
Visa/Mastercard/JCB/American Express/Diners Club/UnionPay(銀聯)/Discover/applePay、iD、QUICPay、交通系IC、PayPay、d払い、LINEPay、auPay、メルペイ
※店頭で利用可能なお支払い方法を記載しています。スマート支払いではご利用いただけない場合がございます。 |
||
| 設備 | 総数1(ベッド1) | ||
| スタッフ数 | 総数2人 | ||
| 駐車場 | 35台(ビルの表側と裏側合わせて) | ||
| こだわり条件 | 当日受付OK/女性専用/個室あり/駐車場あり/駅から徒歩5分以内/2回目以降特典あり/店頭でのカード支払いOK/女性スタッフ在籍/完全予約制/着替えあり/3席(ベッド)以下の小型サロン/都度払いメニューあり/体験メニューあり/ブライダルメニューあり/回数券あり/COIN+支払いOK | ||
| 備考 | 三重/鈴鹿/鈴鹿市/フェイシャル/毛穴/毛穴ケア/ニキビケア/ニキビ予防/肌質改善/美肌/美白/リフトアップ/脱毛/全身脱毛/顔脱毛/VIO脱毛/部分脱毛/ホワイトニング/セルフホワイトニング | ||
| その他 | スマート支払いOK、ポイント利用OK、即時予約OK | ||
べっぴん脱毛×なないろ美人 鈴鹿店のクーポン
- 新規
- サロンに初来店の方
- 再来
- サロンに2回目以降にご来店の方
- 全員
- サロンにご来店の全員の方
|
新 規 |
¥3,980 【当店人気No.1!】肩こり・目疲れに炭酸ヘッドスパ血行促進!
|
|
新 規 |
¥3,980 【VIO脱毛】毛だけではなく黒ずみも一緒にケア!スピード脱毛+黒ずみケア
|
|
新 規 |
¥1,980 【両脇脱毛】毛だけでなく黒ずみケアも一緒にケアして自信満々な美肌に!
|
|
新 規 |
¥4,980 【腕・脚・ワキ脱毛】来年に向けての美肌準備を始めよう!人気3箇所脱毛!
|
|
新 規 |
¥3,980 【両脇+VIO脱毛】黒ずみケア付き!ムレ・チクチク・自己処理からの卒業へ◎
|
べっぴん脱毛×なないろ美人 鈴鹿店の口コミ
サロンPick Up
まぁさん(女性/30代前半/会社員)
[投稿日] 2025-05-10 02:58:49.0
- 総合5★★★★★
- 雰囲気5
- 接客サービス5
- 技術・仕上がり5
- メニュー・料金5
とても丁寧な施術でした。
今の私の体に合ったプランをわかりやすく説明してくださりました。
価格的にも通いやすいので、脱毛だけでなく他のメニューも魅力的だったので次回行くのが楽しみです!
予約時のクーポン・メニュー
- ジャンル
- ジャンル
【VIO脱毛】毛だけではなく黒ずみも一緒にケア!スピード脱毛+黒ずみケア
【フェイシャル・脱毛・ホワイトニング】べっぴん脱毛×なないろ美人 鈴鹿店からの返信コメント
先日はご来店いただき、ありがとうございました!
施術やご提案にご満足いただけたようで、とても嬉しいです。
お身体の状態に合わせたプランを丁寧にご説明できるよう心がけているので、そう言っていただけて何よりです。
価格面でも通いやすいと感じていただけたとのこと、安心しました!
脱毛以外のメニューにもご興味を持っていただけたようで、次回もぜひ楽しみにお越しくださいね。
これからも、お悩みやご希望に寄り添ったご提案ができるよう努めてまいります。
またお会いできるのを楽しみにお待ちしています!
- ページ最終更新日:
- 2025-11-26 17:17:30.0







