オクチサロンコトハ
- リラク
口コミ・平均点について
- 和歌山県橋本市城山台4-2―9 ラルジュ・エスポア105
- 南海高野線 林間田園都市駅からバスで10分 「城山台北」から徒歩4分
コトハからの一言

吉原 恵子
歯科衛生士オーナー
歯科衛生士歴20年。いままで身につけてきた経験や知識をサロンのお客様にも活かしていきたいと思っております。口元がキレイだと清潔感があり、第一印象アップにつながります。歯にコンプレックスをお持ちの方はたくさんいらっしゃいますが、ホワイトニングでトーンアップするだけでも口元が明るくなり印象がアップしますので、ぜひ一度お試しください!電話は対応しかねます。
コトハの雰囲気・メニューなど
-

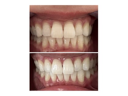
セルフホワイトニングの手順は、歯科衛生士がサポートいたします
-

お車でお越しの方は、駐車場「1番」をご利用ください。
-

お客様それぞれのお口に合わせてライトを照射します
サロンの利用傾向
平均予約金額
データ収集中
人気のクーポン
データ収集中
予約比率
性別比率
データ収集中
年代比率
データ収集中
コトハのサロンデータ
| 電話番号 | 番号を表示 | ||
|---|---|---|---|
| 住所 | 和歌山県橋本市城山台4-2―9 ラルジュ・エスポア105 | ||
| アクセス・道案内 | 京奈和自動車道 橋本東ICをおりて右折し、しばらく進むと左側にファミリーマートさんがあり、さらに直進するとなだらかな上りのカーブの途中で右側に2階建ての茶色いマンション(当サロン)がありますので、中央分離帯をUターンして駐車場「1番」に駐車してください。ラルジュ・エスポア 105号室です。 | ||
| 営業時間 | 10:00~19:00 ※夜間営業要相談 | ||
| 定休日 | 不定休 | ||
| 支払い方法 |
Visa/Mastercard/JCB/American Express/Diners Club/Discover/交通系電子マネー(Suica.PASMO.ICOCA)、各種電子決済可能(PayPay.ID.d払い等)
※店頭で利用可能なお支払い方法を記載しています。スマート支払いではご利用いただけない場合がございます。 |
||
| 設備 | 総数1(リクライニングチェア1/半個室1) | ||
| スタッフ数 | 総数1人(施術者(エステ)1人) | ||
| 駐車場 | 有:1台 | ||
| こだわり条件 | 当日受付OK/女性専用/駐車場あり/店頭でのカード支払いOK/女性スタッフ在籍/完全予約制/指名予約OK/リクライニングチェア(ベッド)/3席(ベッド)以下の小型サロン/都度払いメニューあり/回数券あり | ||
| 備考 | 女性専用サロンですが、女性パートナー同伴でしたら男性も可能です。 | ||
| その他 | スマート支払いOK、ポイント利用OK、即時予約OK | ||
コトハのクーポン
- 新規
- サロンに初来店の方
- 再来
- サロンに2回目以降にご来店の方
- 全員
- サロンにご来店の全員の方
|
全 員 |
¥0 無料カウンセリング(ご都合がよければ当日施術可能)
|
|
全 員 |
¥3,980 初回限定!医療提携ホワイトニング導入記念キャンペーン5,000円→3,980円!
|
|
全 員 |
¥6,980 数量限定!医療提携ホワイトニングなのにしみない!しっかり白く40分照射
|
|
全 員 |
¥7,000 【初めての方におすすめ!】じっくり40分照射でしっかり綺麗! 1,500円引き
|
|
新 規 |
¥4,000 まずはお試し!【20%OFF!!】20分照射で手軽に体験!5,000円→4,000円
|
|
再 来 |
¥4,500 ずっと500円引き!お手頃メンテナンスで綺麗をキープ!
|
- ページ最終更新日:
- 2026-04-17 22:16:31.0







